HOME
ABOUT US
DR O’DONNELL
SERVICES
Braces for Adults
Braces for Teenagers
Braces for Children
Six-Month Braces
Invisalign Clear Braces
InVu Braces
Non-Extraction Treatment
Adjunctive Therapy
Same-Day Retainer Service
Case Studies
LIFE WITH BRACES
CONTACT
HOME
ABOUT US
DR O’DONNELL
SERVICES
Braces for Adults
Braces for Teenagers
Braces for Children
Six-Month Braces
Invisalign Clear Braces
InVu Braces
Non-Extraction Treatment
Adjunctive Therapy
Same-Day Retainer Service
Case Studies
LIFE WITH BRACES
CONTACT
Case Studies
Home
Case Studies
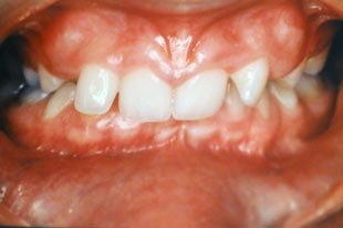
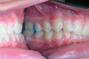
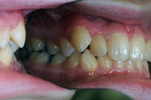
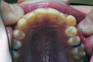
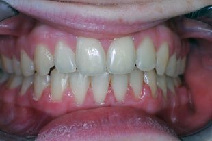
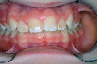
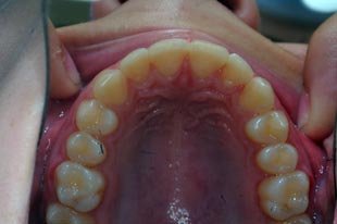
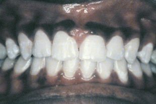
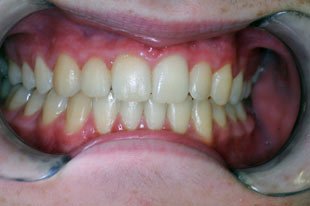
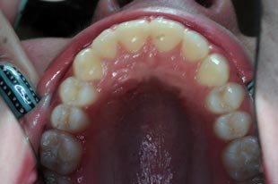
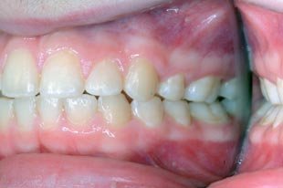
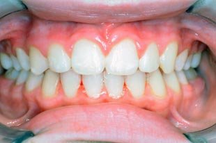
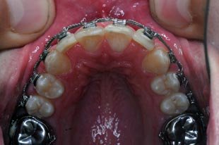
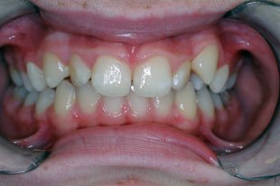
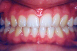
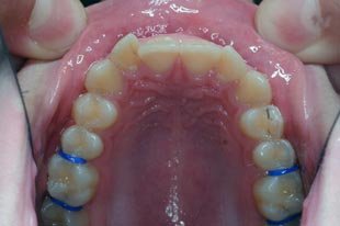
Extraction
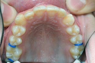
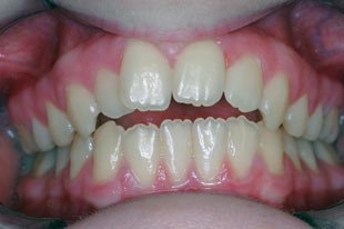
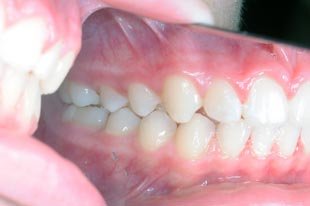
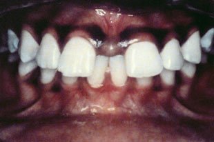
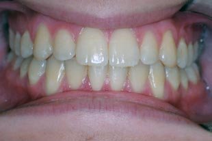
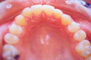
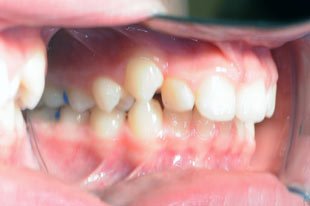
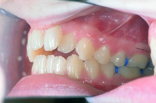
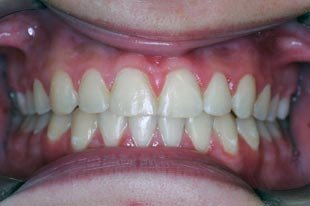
Before
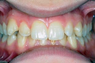
After
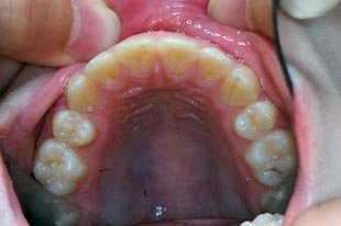
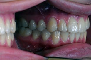
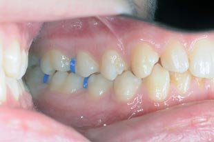
Before
After
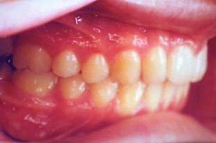
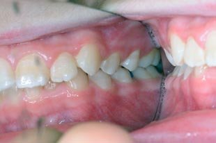
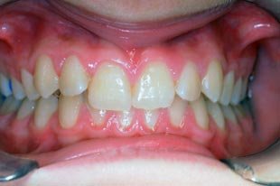
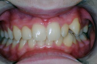
Non Extraction
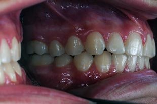
Before
After
Before
After
Before
After
Before
After
Before
After
Before
After
Space Closure
Before
After
Adjunctive Restorative
Before
After
Our Mission
Established in 1993, O’Donnell Orthodontics provides affordable, cutting-edge, specialist orthodontic treatment for children, teenagers and adults.
Copyright © O'Donnell Orthodontics